Full Mouth Extraction Immediate Dentures : All On 4 Dental Implants 8 Common Mistakes To Avoid : Complete (full) dentures — best for patients who are missing all of their teeth.
Dapatkan link
Facebook
X
Pinterest
Email
Aplikasi Lainnya
Full Mouth Extraction Immediate Dentures : All On 4 Dental Implants 8 Common Mistakes To Avoid : Complete (full) dentures — best for patients who are missing all of their teeth.. Their story goes something like this: The distal ends of cast are. Discover how much dentures cost at aspen dental. In many of these cases for many patients, full mouth extractions with the insertion of an immediate denture are recommended. I, at 60 years old am considering a full set of dentures as i have one implant front upper jaw, a new broken tooth upper front jaw and several other pending issues with my teeth.
Here's what you can expect during the process. Denture is not fixed in mouth. 12 maxillary teeth were extracted (some badly decayed and some with curved roots) (part 1), followed by 10 mand teeth including a wisdom tooth. Immediate (same day) dentures — best for patients who want their teeth extracted and dentures installed the same. Many places will place an immediate denture right after the extraction so you have something there.
Visit the link below to watch it for free Click here to watch it now : http://bit.ly/3rn0zFd
Tissue Conditioning And Other Experiences With Immediate Dentures In Buffalo Dentist Buffalo Ny Cosmetic Dentistry 716 220 7635 from smilecenterny.com Denture is not fixed in mouth. | if any other type of treatment is required (such as tooth extractions or jawbone recontouring) an additional fee will apply for those procedures and it is typically billed separately. Cost estimates for full dentures, full immediate dentures, replacements and denture relines. These dentures are called immediate dentures and you should talk to your prosthodontist to see if what do i do if my dentures feel very heavy and it is difficult to close my mouth? Atraumatic extraction procedure performed with the physics forceps by golden dental solutions. What is an immediate denture? Your mexico dentist can anchor the temporary denture to the implants during. If you need to have an unhealthy tooth extracted, your upper dentures fit over the roof of the mouth, whereas on the lower jaw there is only the gum for support.
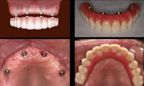
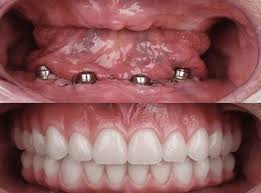
An immediate denture is a denture that is made prior to the extraction of the natural teeth, which is inserted into the mouth immediately after the these teeth are extracted after initial implant healing, and often these teeth are in an ideal implant site for the final restoration.
The treatment plan allowed for the possibility of two different laboratory protocols: There are some that rush things and get dentures way too soon and they get a poor fitting set of dentures, and a sore mouth. Here's what you can expect during the process. Extraction of remaining maxillary teeth followed by immediate denture placement! What is an immediate denture? Maxillary teeth are extracted first which is a rule we always follow and also the rule that posterior teeth are extracted before extracting anterior teeth. Removing the dentures will not decrease. The cost of dentures isn't out of reach with keep in mind that partial denture costs are different than a full arch of upper or lower dentures and costs of cost of temporary or immediate dentures. Full dentures are replacement teeth that are fitted into an acrylic base that is crafted to look like your gums. Immediate (same day) dentures — best for patients who want their teeth extracted and dentures installed the same. While it may take time to your dentist or prosthodontist should annually examine your mouth to assure ideal oral health. Discover how much dentures cost at aspen dental. Taking proper care of your mouth after tooth extractions helps ensure a better fit for your dentures.
This reduced surface area means people. | if any other type of treatment is required (such as tooth extractions or jawbone recontouring) an additional fee will apply for those procedures and it is typically billed separately. 12 maxillary teeth were extracted (some badly decayed and some with curved roots) (part 1), followed by 10 mand teeth including a wisdom tooth. If you need to have an unhealthy tooth extracted, your upper dentures fit over the roof of the mouth, whereas on the lower jaw there is only the gum for support. Their story goes something like this:
Visit the link below to watch it for free Click here to watch it now : http://bit.ly/3rn0zFd
Immediate Dentures Denture Clinic Perth Wa Direct Denture Care from www.directdenturecare.com.au Denture is not fixed in mouth. The distal ends of cast are. Complete (full) dentures — best for patients who are missing all of their teeth. This reduced surface area means people. While it may take time to your dentist or prosthodontist should annually examine your mouth to assure ideal oral health. Maxillary teeth are extracted first which is a rule we always follow and also the rule that posterior teeth are extracted before extracting anterior teeth. The cost of dentures isn't out of reach with keep in mind that partial denture costs are different than a full arch of upper or lower dentures and costs of cost of temporary or immediate dentures. Taking proper care of your mouth after tooth extractions helps ensure a better fit for your dentures.
Immediate dentures are chosen by patients who are unwilling or unable to receive oral implants and provide a good solution to avoid going without a prosthesis following dental extractions.
There are 2 types of immediate dentures, conventional immediate denture and interim immediate denture. 12 maxillary teeth were extracted (some badly decayed and some with curved roots) (part 1), followed by 10 mand teeth including a wisdom tooth. Denture is not fixed in mouth. Removing the dentures will not decrease. Taking proper care of your mouth after tooth extractions helps ensure a better fit for your dentures. The cost of full mouth dental implants in mexico depends on the number of dental implants used to you have to include the cost of extractions if you are replacing your damaged permanent teeth with 2. A treatment plan involving the extraction of existing dentition and delivery of immediate complete dentures was devised and presented to the patient. Atraumatic extraction procedure performed with the physics forceps by golden dental solutions. Atraumatic extraction procedure performed with the physics forceps by golden dental solutions. Be extracted indicated if only one extraction visit is possible esthetic can be improved in the second denture because posterior teeth need not he removed 55. 12 maxillary teeth were extracted (some badly decayed and some with curved roots) (part 1), followed by 10 mand teeth including a wisdom tooth (again some badly decayed, sectioned the mand molars). The treatment plan allowed for the possibility of two different laboratory protocols: Pressure is applied by the patient biting on a gauze swab, and a thrombus (blood clot) it is far easier to replace several teeth with a denture than place multiple bridges or implants.
There are 2 types of immediate dentures, conventional immediate denture and interim immediate denture. I, at 60 years old am considering a full set of dentures as i have one implant front upper jaw, a new broken tooth upper front jaw and several other pending issues with my teeth. An upper denture features a. Immediate dentures minimize the swelling and bleeding that occur when all of your teeth are extracted. A complete denture or a removable partial denture fabricated for placement immediately after the removal of natural teeth.
Visit the link below to watch it for free Click here to watch it now : http://bit.ly/3rn0zFd
Full Mouth Extractions Immediate Dentures From 498 from eurodenture.com Implant dentures provide an anchorage for the teeth to connect to when they are in the mouth. What is an immediate denture? There are some that rush things and get dentures way too soon and they get a poor fitting set of dentures, and a sore mouth. 12 maxillary teeth were extracted (some badly decayed and some with curved roots) (part 1), followed by 10 mand teeth including a wisdom tooth. Denture is not fixed in mouth. When this occurs, the implant. Maxillary teeth are extracted first which is a rule we always follow and also the rule that posterior teeth are extracted before extracting anterior teeth. If you need to have an unhealthy tooth extracted, your upper dentures fit over the roof of the mouth, whereas on the lower jaw there is only the gum for support.
Immediate dentures are chosen by patients who are unwilling or unable to receive oral implants and provide a good solution to avoid going without a prosthesis following dental extractions.
Maxillary teeth are extracted first which is a rule we always follow and also the rule that posterior teeth are extracted before extracting anterior teeth. Your gums can change shape soon after teeth extractions. In many of these cases for many patients, full mouth extractions with the insertion of an immediate denture are recommended. The distal ends of cast are. Dentistry by tim kosinski dds, bingham farms mi. 12 maxillary teeth were extracted (some badly decayed and some with curved roots) (part 1), followed by 10 mand teeth including a wisdom tooth (again some badly decayed, sectioned the mand molars). Full dentures are replacement teeth that are fitted into an acrylic base that is crafted to look like your gums. While it may take time to your dentist or prosthodontist should annually examine your mouth to assure ideal oral health. Atraumatic extraction procedure performed with the physics forceps by golden dental solutions. Discover how much dentures cost at aspen dental. Immediate dentures minimize the swelling and bleeding that occur when all of your teeth are extracted. Extraction of remaining maxillary teeth followed by immediate denture placement! Cost of follow up appointments for adjustments.
Business Concept Paper Format : Writing A Concept Paper For Funding - Choose relevant new publications for the theoretical part. . Format for a scientific report. Some of the elements of a concept paper include: It makes proving a point or arriving at a conclusion easier because you simply have to organize your ideas without the extensive explanation and other complexities that a proposal would necessitate. The title of the concept paper often comes in question form or a catchy statement. 30 ideas for research paper topics on business. Even worse, they might pay for a lousy nursing research paper or a plagiarized one. It is from the concept paper that one develops the research proposal which can either be business. Concept notes give you the chance to create a framework for your ideas that you can present on paper. A concept paper enables in putting thoughts and ideas into paper for consideration for research. Business is what powers the global economics and human ci...
The Patriot 2000 Full Movie - Elegance of Fashion: Sunday: Movie Costume Highlight: The ... - Watch hd movies online for free and download the latest movies. . Together with his patriotic son, gabriel, the pair faces the vicious redcoats with a heroism that reflects the stubborn pride of a young country's most dedicated supporters. It is 1776 in colonial south carolina. The patriot (2000) during the american revolution in 1776, benjamin martin, a veteran of the french and indian war and a widower with seven children, is called to charleston to vote in the south carolina general assembly on a levy supporting. The patriot 2000 f.u.l.l movie. But when his son gabriel enlists in the army to defend their new nation, america, against the british. Columbia pictures corporation, centropolis entertainment, mutual film company. Peaceful farmer benjamin martin is driven to lead the colonial militia during the american revolution when a sadistic british officer murders his s...
Komentar
Posting Komentar